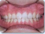
上の前歯が深くかぶさり下の前歯が見えません。
 不正咬合と気づかれにくいですが、原因療法が最も難しい不正咬合です。

 

(12才5カ月)
 
(14才7カ月)

意外に知られていない不正咬合ですが、上の歯が深くかぶさって、下の歯がほとんど見えない状態です(A1)。
特に下の歯は内側に倒れこんだようになり(A3)、前歯はでこぼこしています。
治療後は前歯のかぶり具合は正常になり(B1)、上下の歯列もきれいなアーチ(円弧)をえがいています(B2,B3)。

きなみ矯正歯科診療の流れ



(c) Copyright 2004 kinami Pedodontic & Orthodontic Clinic All rights reserved.