でこぼこがないと以外に気づきにくい歯列不正です。
 奥歯でかみ合わせた時に上の歯と下の歯の前後の差が大きい場合です。

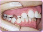
  >症例.1 >症例.2

(9才10カ月)
 
(11才10カ月)

上の前歯が下より10ミリ出ていましたが(A2) 、1年10カ月の治療で正しい前歯のかみ合わせになりました。(B2)
下の前歯が半分以上隠れていたのも改善されています。(A1→B1)
口唇を閉じにくかったのも自然な口元になりました。(A3→B3)

 >症例.1 >症例.2

(10才4カ月)
 
(12才4カ月)

上の歯が下より14ミリ出ており(A2) 通常は上の小臼歯2本の抜歯が避けられない症例ですが、1本も抜かずに正しいかみ合わせを獲得できました。(B1・B2)
治療前は口を閉じるのに口元がとても緊張して、
下くちびるの下にうめぼしの種状のしわができていましたが (A3)、治療後は自然な口元になりました。(B3)


症例集:受け口




(c) Copyright 2004 kinami Pedodontic & Orthodontic Clinic All rights reserved.