上の前歯と下の前歯のかみ合わせが逆の状態。一見してわかりやすい。
 乳歯の受け口は自然に治ることもありますが前歯がはえかわってからの
 受け口はできるだけ早期に治療を開始するべきです。

 >症例.1 >症例.2

(8才10カ月)
(10才0カ月)
(12才5カ月)

前歯の咬み合わせが逆の、いわゆる受け口は、上顎の成長が足りない場合が多く、早期に治療を開始することで不足している成長を引き出すことができます。
この症例では8才10カ月から上顎の成長を促す矯正治療を行い1年1カ月で終了しました(B1, B2)
治療から3年後、全ての歯が永久歯にはえかわっていますが、きれいな歯並びを保っています(C1, C2)
早期に骨格的な不正を取り除くことができたため、その後の良好な発育が得られたよい例です。

 >症例.1 >症例.2

(13才1カ月)
 
(14才7カ月)

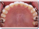
すべて永久歯にはえ変わってから受診された方です。
上顎(うわあご)は幅が狭く、前歯にでこぼこがあり、犬歯は外に飛び出していました。(A1, A2)
下顎の歯にもでこぼこがあり、幅の狭い上顎にあわせて内側に倒れていました。(A1, A3)
上顎を広げる治療を行い、それに合わせて下の歯もまっすぐにしました。
治療前は口元が気になっていたのが、治療後は自信を持って笑えるようになりました(A4→B4)。
口角から口角に並ぶ白い歯がさわやかなスマイルです(B4)。

症例集:前歯がかみ合わない



(c) Copyright 2004 kinami Pedodontic & Orthodontic Clinic All rights reserved.