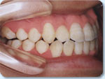
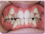
13歳5ヶ月の患者さんですが、犬歯が八重歯になっているのを気にして来院されました。 2年2ヶ月の矯正治療で1本も歯を抜かずに、きれいな歯並びになりました。 他の矯正治療の方法では100%、小臼歯4本(あるいはそれ以上)を抜歯することでしょう。 この方は 八重歯(犬歯)が出てきた後で矯正治療を開始しましたが、乳歯が残っている時期(7〜8 歳)にスキ間不足に気が付いて矯正治療を開始すれば、「育てる矯正」によって、筋肉などの機能の不正も改善しやすく、 適応力も旺盛なので矯正治療が短期間で終了できる利点がありますし、小臼歯を抜歯することもほとんどないと考えています。  逆に18歳以上で体の成長が終了していると考えられる患者さんの場合には、「育てる矯正」の限界はありますが、できるだけ非抜歯の方針で矯正治療を行います。 でこぼこや八重歯に限らずあらゆる歯列不正は、多かれ少なかれ上下のあごの発育不良が見受けられます。 きなみのモットーは患者さんを自分の子供・家族と思って治療することです。 歯や歯の配列だけを見るのではなく、唇、ほっぺた、舌という歯列の周りの筋肉のバランスや、さらには嚥下・呼吸・姿勢といった全身から見た歯並びを考えると、歯列を育成していく方針の治療が家族に提供していきたい治療であると、私たちスタッフは考えています。 (なお、「育てる矯正」とは本来育つべきあごの大きさに近づける治療であり、その人の限界を超えてむやみにあごを大きくするわけではありません。)  

症例集:でこぼこ、スキ間、八重歯



(c) Copyright 2003 kinami Pedodontic & Orthodontic Clinic All rights reserved.